RESUMO
OBJETIVO: Avaliar a relação entre a fração de gordura hepática por densidade de prótons medida por ressonância magnética (PDFFMRI) e o tamanho do fígado em pacientes com doença hepática esteatótica associada a disfunção metabólica (MASLD). Explorar o papel do diâmetro craniocaudal do lobo hepático (DCCLH) direito medido na linha hemiclavicular e da volumetria hepática, como ferramentas complementares na avaliação da esteatose.
MATERIAIS E MÉTODOS: Estudo transversal, unicêntrico e prospectivo incluindo 289 pacientes submetidos a ressonância magnética multiparamétrica para avaliação da esteatose hepática, a qual foi determinada pelo valor de PDFF-MRI. As medidas de tamanho do fígado incluíram DCCLH, volume hepático de segmentação automatizada e a sua diferença em relação ao volume hepático total esperado (Voe), calculado pela fórmula de Vauthey.
RESULTADOS: Observou-se correlação positiva significativa entre a PDFF-MRI e as medidas de tamanho hepático, incluindo o DCCLH (rs = 0,651; p < 0,001) e a Voe (rs = 0,568; p < 0,001). Pacientes com maior grau de esteatose apresentaram aumento progressivo do volume hepático (p < 0,001). A análise da curva ROC demonstrou boa acurácia diagnóstica para o DCCLH (AUC = 0,76) e para a Voe (AUC = 0,83) na identificação de esteatose moderada a acentuada.
CONCLUSÃO: A avaliação integrada da PDFF-MRI e do aumento do tamanho hepático demonstrou-se eficaz para diagnóstico, estratificação e monitoramento da esteatose em pacientes com MASLD.
Palavras-chave:
Fígado gorduroso; Ressonância magnética multiparamétrica; Biomarcadores; Fígado/diagnóstico por imagem; Fígado/fisiopatologia.
ABSTRACT
OBJECTIVE: To evaluate the relationship between the magnetic resonance imaging-derived proton density fat fraction (MRI-PDFF) and liver size in patients with metabolic dysfunction-associated steatotic liver disease (MASLD), as well as to explore the role of determining the craniocaudal diameter of the right hepatic lobe (CCDHL), measured at the midclavicular line, and liver volumetry as complementary tools in the assessment of hepatic steatosis.
MATERIALS AND METHODS: This was a single-center, cross-sectional, prospective study including 289 patients with MASLD who underwent multiparametric MRI for the evaluation of hepatic steatosis, which was categorized by the MRI-PDFF value. Liver size measurements included the CCDHL, liver volume from automated segmentation, and its difference from the total expected liver volume (eLV), calculated with the Vauthey formula.
RESULTS: A significant positive correlation was observed between the MRI-PDFF and liver size measurements, including the CCDHL (rs = 0.651; p < 0.001) and the eLV (rs = 0.568; p < 0.001). Patients with higher grades of steatosis showed a progressive increase in liver volume (p < 0.001). A receiver operating characteristic curve analysis demonstrated good diagnostic accuracy for the CCDHL and for the eLV in identifying moderate-to-severe steatosis (area under the curve: 0.76 and 0.83, respectively).
CONCLUSION: The integrated assessment of the MRI-PDFF and liver size appears to be effective for the diagnosis, stratification, and monitoring of steatosis in patients with MASLD.
Keywords:
Fatty liver; Multiparametric magnetic resonance imaging; Biomarkers; Liver/diagnostic imaging; Liver/physiopathology.
INTRODUÇÃO
A doença hepática esteatótica associada a disfunção metabólica (metabolic dysfunction-associated steatotic liver disease – MASLD) é atualmente a condição hepática crônica mais prevalente no mundo, com aumento relacionado à obesidade e ao diabetes tipo 2. A prevalência global atinge cerca de 38% e, na América Latina, 44%(1,2). Observa-se aumento progressivo da incidência em quase todos os países.
A histopatologia da MASLD varia desde esteatose isolada até a esteato-hepatite associada a disfunção metabólica (MASH), que pode progredir para fibrose, cirrose e carcinoma hepatocelular(1). Além das complicações hepáticas, a MASLD associa-se a risco aumentado de doenças cardiovasculares, cerebrovasculares, endocrinometabólicas e neoplasias extra-hepáticas(2).
O diagnóstico precoce é fundamental para evitar a progressão da doença. Embora a biópsia hepática seja considerada o padrão ouro, é um método invasivo, sujeito a variabilidade interobservador e limitado pela amostragem, além de não contemplar o acometimento heterogêneo no parênquima(3,4). Assim, métodos não invasivos como a ressonância magnética (RM) multiparamétrica, com quantificação da fração de gordura hepática por densidade de prótons (PDFF-MRI), vêm sendo incorporados à prática clínica(5).
A PDFF-MRI é um biomarcador quantitativo, reprodutível e sensível para esteatose hepática, inclusive em baixos níveis (≥ 5%) de esteatose, apresentando alta acurácia na diferenciação dos graus de acometimento, com área sob a curva (AUC) superior a 90%(5).
A volumetria hepática automatizada representa um método promissor na avaliação estrutural da MASLD, oferecendo maior precisão, menor variabilidade interobservador e análise rápida de grandes volumes de dados(6). Para avaliar desvios volumétricos, calculou-se a diferença entre o volume hepático segmentado na RM e o volume esperado (Voe), estimada pela fórmula de Vauthey(7). Realizou-se também correlação da PDFF-MRI com o diâmetro craniocaudal do lobo hepático (DCCLH) direito medido na linha hemiclavicular, uma medida simples, acessível e reprodutível(8).
O objetivo deste estudo foi avaliar a correlação entre a PDFF-MRI e o tamanho hepático em pacientes com MASLD, explorando o papel da volumetria automatizada, da Voe e do DCCLH como ferramentas complementares.
MATERIAIS E MÉTODOS
Participantes
Este estudo transversal, unicêntrico e prospectivo foi aprovado pelo conselho de pesquisa institucional e pelo comitê de ética em pesquisa sob o número 26455019.6. 3001.5330. Todos os participantes assinaram o termo de consentimento livre e esclarecido. Incluíram-se pacientes com idade igual ou superior a 18 anos, encaminhados para realização de RM multiparamétrica do fígado entre 2020 e 2021, visando a avaliação ou o monitoramento de esteatose hepática, totalizando 289 pacientes.
Para a coorte definitiva do estudo, foram incluídos 267 pacientes, excluindo-se 22 da amostra total que não apresentavam pelo menos um dos cinco critérios cardiometabólicos, conforme o consenso para a classificação de MASLD(2,9), ou que apresentavam uso excessivo de álcool (acima de 20 g/dia para mulheres e 30 g/dia para homens), uso de medicamentos esteatogênicos (p. ex.: amiodarona, corticosteroides, metotrexato ou tamoxifeno), diagnóstico prévio de outras doenças hepáticas (p. ex.: hemocromatose, doença de Wilson ou deficiência de alfa-1-antitripsina), infecções pelos vírus da hepatite C, hepatite B e da imunodeficiência humana, hepatite autoimune ou pacientes transplantados. Ressalta-se que a exclusão de diagnóstico prévio de hepatites virais, assim como de outras doenças hepáticas, foi baseada apenas em dados de anamnese, sem confirmação laboratorial ou sorológica. Excluíram-se também pacientes com falha técnica na RM (artefatos de movimento ou metálicos).
Foram coletados dados como idade, sexo, peso, altura e circunferência abdominal. O índice de massa corpórea foi calculado dividindo-se o peso (kg) pela altura ao quadrado (m2).
Protocolo de imagem
As imagens foram adquiridas em aparelho de 1.5 tesla (Magnetom Aera, Siemens Healthineers, Erlangen, Alemanha), com bobina de 18 canais, e aquisição adicional de sequências T2 single-shot axial e coronal, e T1 GRE em oposição de fase axial.
Foi utilizado o software LiverLab (Siemens Healthineers), com técnica q-Dixon com seis ecos, gerando ma-pas de gordura (PDFF-MRI) e ferro (R2*), além da volumetria hepática automatizada.
O valor da PDFF-MRI foi classificado em graus de esteatose: < 5,6%, considerado normal; 5,6–16,2%, esteatose leve; 16,3–21,6%, esteatose moderada; ≥ 21,7%, esteatose acentuada(10,11).
O volume hepático segmentado na RM foi definido como o volume observado, e o volume esperado foi calculado utilizando-se a fórmula de Vauthey(7), desenvolvida para a estimativa do volume hepático durante o planejamento de ressecções cirúrgicas ou de transplante hepático:

A diferença entre o volume observado e o volume esperado foi denominada como Voe.
O DCCLH foi aferido (em cm) na linha hemiclavicular direita na imagem T2
single shot coronal (valor de referência: ≤ 15 cm)
(12).
Foi realizada avaliação de fibrose hepática por meio de um sistema de elastografia (Resoundant, Inc., Rochester, MN, EUA) com ondas mecânicas transmitidas via dispositivo no hipocôndrio direito, gerando mapas de rigidez hepática (em kPa), para avaliar a interferência da presença de fibrose com o valor obtido da Voe. Foram evitadas áreas de baixa confiabilidade e interferências na análise. Os estágios de fibrose foram considerados como: normal, se < 2,5 kPa; F0 ou inflamação crônica, se entre 2,5–2,9 kPa; F1/F2, se entre 3,0–3,5 kPa; F2/F3, se entre 3,5–4,0 kPa; F3/F4, se entre 4,0–5,0 kPa; F4 ou cirrose, se > 5 kPa
(13).
As imagens foram analisadas por duas radiologistas, independentes: uma
fellow (quarto ano de formação) e uma radiologista abdominal sênior (dez anos de experiência em radiologia abdominal). Foram avaliados os contornos gerados de forma automatizada na segmentação hepática; se corretos em relação à superfície hepática, o valor do volume total do fígado foi considerado. Na avaliação da PDFF-MRI, foram realizadas nove regiões de interesse nos segmentos hepáticos e comparadas com o valor da segmentação automatizada. Na presença de concordância entre estes valores, foi usado o resultado do histograma gerado pela segmentação automatizada. Na ausência de concordância, foi utilizado o valor da PDFF-MRI da maior área de região de interesse passível de adequada mensuração do parênquima hepático.
Todos os exames foram inicialmente analisados pela radiologista
fellow e, subsequentemente, reavaliados pela radiologista abdominal sênior em uma segunda etapa. As mensurações quantitativas da PDFF-MRI, do R2* e da rigidez hepática foram realizadas de forma independente por ambas as observadoras, permitindo a posterior análise da concordância interobservador. A aferição do DCCLH foi obtida de forma consensual entre as duas avaliadoras durante a segunda rodada de leitura, com a finalidade de garantir padronização metodológica dessa medida anatômica.
Análise estatísticaAs variáveis quantitativas foram descritas por média e desvio-padrão ou mediana e intervalo interquartil (IQR), conforme distribuição dos dados. Já as variáveis categóricas foram descritas por frequências absolutas e relativas.
Para comparação de medianas, foram empregados os testes de Mann-Whitney ou Kruskal-Wallis, com o teste de Dunn para comparações múltiplas. Na comparação de proporções, utilizou-se o teste qui-quadrado de Pearson, associado a análise dos resíduos ajustados.
Para avaliar a predição do DCCLH e da Voe na ocorrência de esteatose ou esteatose moderada/acentuada, realizou-se análise pela curva ROC, sendo utilizados a AUC e o intervalo de confiança de 95% (IC 95%).
As associações entre as variáveis numéricas foram avaliadas pelo coeficiente de correlação de Spearman.
Adicionalmente, a concordância interobservador entre os dois avaliadores para as mensurações de PDFFMRI, R2* e kPa foi avaliada por meio do coeficiente de correlação intraclasse (CCI), com interpretação segundo os critérios de Landis e Koch.
O nível de significância adotado foi 5% (
p < 0,05). As análises foram realizadas no programa SPSS versão 27.0 (IBM Corp., Armonk, NY, EUA).
RESULTADOSCaracterísticas clínicasA amostra foi composta por 267 pacientes com idade média de 52,8 anos, conforme apresentado na Tabela 1. Houve equilíbrio entre a proporção de homens (52,8%) e mulheres (47,2%). A obesidade foi a comorbidade mais prevalente (55,8%), seguida de dislipidemia (50,8%) e hiperglicemia de jejum (54,4%), corroborando a alta associação entre esteatose hepática e síndrome metabólica.
Em relação à presença de esteatose, 21% dos pacientes não apresentavam critério, 47,2% apresentavam esteatose leve, 15% tinham esteatose moderada e 16,9% apresentavam esteatose acentuada. A mediana da PDFFMRI foi de 10,7% (IQR: 5,9%–18,1%), sugerindo uma predominância de esteatose leve a moderada.
Durante a avaliação das medidas hepáticas, o valor médio do DCCLH aferido foi de 13,8 cm (± 2,3 cm), com 71,2% dos pacientes apresentando DCCLH ≤ 15 cm e 28,8% apresentando DCCLH > 15 cm. O volume hepático médio obtido pela volumetria automatizada foi de 1739 mL ± 457 mL e a Voe, calculada pela fórmula de Vauthey foi de 1747 ± 301 cm
3, com 46,1% dos pacientes apresentando volume hepático maior que o esperado.
Nas avaliações complementares, observou-se que a sobrecarga de ferro estava presente em cerca de 23,4% da amostra. Em relação à fibrose hepática, 208 pacientes (77,9%) apresentaram resultado normal e 23 pacientes (8,6%) estavam no estágio F0 ou inflamação crônica
(13). A fibrose avançada (F3/F4) foi incomum, indicando que a maioria dos pacientes estava em estágios iniciais de fibrose. A distribuição detalhada dos graus de fibrose encontra-se descrita na Tabela 2.
A análise de concordância interobservador revelou excelente reprodutibilidade para todas as mensurações quantitativas avaliadas. Para a quantificação da PDFFMRI, o CCI foi de 0,92 (IC 95%: 0,90–0,94); para o R2*, o CCI foi de 1,00 (IC 95%: 1,00–1,00); e para a rigidez hepática estimada por elastografia (kPa), o CCI foi de 0,99 (IC 95%: 0,99–1,00).
Avaliação do dimensionamento hepáticoA análise dos dados demonstrou que pacientes com DCCLH ≤ 15 cm apresentaram uma mediana da V
oe de –132,2 mL (IQR: –319,5 a 51,8), e os com DCCLH > 15 cm tiveram uma mediana de 275,4 mL (IQR: 41,6 a 546,8) (
p < 0,001).
No grupo com DCCLH preservado (≤ 15 cm), o volume hepático observado foi, em sua maioria, menor que o esperado. De modo análogo, no grupo com DCCLH aumentado (> 15 cm), a mediana do Voe foi positiva, indicando o volume hepático observado maior que o esperado.
A Figura 1 ilustra que pacientes com DCCLH > 15 cm tendem a apresentar discrepância positiva entre o volume hepático observado e o esperado, enquanto os com DCCLH ≤ 15 cm mostram discrepâncias negativas.
A análise da dispersão dos dados (Figura 2) corroborou que há uma associação significativa entre o aumento do DCCLH e o aumento da Voe, reforçando a ideia de que o DCCLH pode ser um marcador útil para avaliar alterações volumétricas hepáticas em pacientes com MASLD.
Correlação dos dados de amostragem A avaliação da relação entre o grau de esteatose apresentado pelo paciente e a Voe mostrou que esta aumenta progressivamente com o aumento do grau de esteatose. Pacientes com esteatose acentuada apresentaram volumes marcadamente maiores (441,6 mL), indicando uma relação direta e significativa, mais bem demonstrada na Figura 3. Pacientes sem esteatose apresentam, em média, volume abaixo do esperado, enquanto os com esteatose acentuada mostram volumes significativamente maiores. A tendência crescente é evidenciada pela progressão dos valores media-nos e pelo aumento do IQR nos casos acentuados. Esse padrão reflete a associação do acúmulo de gordura hepática com o aumento do volume do fígado.

A Voe apresenta AUC semelhante em comparação ao DCCLH para a presença ou não de esteatose hepática (AUC = 0,72 para ambos) (Figura 4). No entanto, para estágios moderados e acentuados da doença, a Voe apresenta AUC maior em comparação ao DCCLH (AUC = 0,83 e 0,76), inferindo que a volumetria pode ser mais sensível para detectar progressão da esteatose.
A associação, tanto do DCCLH e a PDFF-MRI (rs = 0,474;
p < 0,001) quanto da Voe e a PDFF-MRI (rs = 0,568;
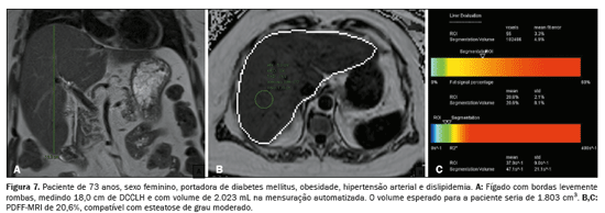
p < 0,001), apresentou correlação estatisticamente significante, refletindo os resultados das análises anteriores (Figura 5). A relação entre o acúmulo de gordura e o aumento do volume hepático está exemplificada nas Figuras 6, 7 e 8.
Fatores de confusãoO aumento da Voe referente ao grau da esteatose não foi significativamente diferente para sexo (
p = 0,558), sobre-carga de ferro (
p = 0,905) e fibrose, em grau significativo (
p = 0,315). Esses resultados ressaltam o papel da PDFF-MRI e do volume hepático na avaliação da MASLD, independentemente da influência desses fatores de confusão.
DISCUSSÃOIntegração da PDFF-MRI e do tamanho hepático no manejo clínicoNosso estudo avaliou a relação entre a PDFF-MRI, a volumetria hepática segmentada automaticamente e o DCCLH, visando compreender melhor a interação entre o acúmulo de gordura e o aumento do volume hepático (Figuras 1, 2 e 3). Os resultados demonstraram que a PDFFMRI apresenta correlação significativa com o aumento do volume hepático, assim como a Voe mostrou uma progressão linear com o grau de esteatose, sendo significativamente maior nos pacientes com esteatose acentuada. Esses achados reforçam a hipótese de que a esteatose induz hipertrofia hepática progressiva, sugerindo que o volume hepático pode ser um marcador indireto da gravidade da doença e um possível preditor de complicações metabólicas
(3,6).
A relevância clínica desses achados está no aprimoramento das estratégias de avaliação da MASLD. O uso da volumetria hepática segmentada automaticamente por algoritmos de inteligência artificial permite uma estimativa objetiva e reprodutível do volume hepático, reduzindo a variabilidade interobservador e potencializando sua aplicabilidade. A integração da volumetria hepática com a PDFFMRI pode contribuir para uma melhor identificação de pacientes em risco de progressão para fibrose avançada e complicações metabólica
(14). Destaca-se também a possibilidade de monitoramento da doença e avaliação da resposta terapêutica a intervenções clínicas e farmacológicas. Estudos anteriores sugerem que a redução da fração de gordura hepática por meio de dietas e medicamentos pode estar diretamente associada à redução do volume hepático, reforçando a importância da volumetria no acompanhamento desses pacientes
(15). Dessa forma, a incorporação de biomarcadores quantitativos, como a PDFF-MRI e a volumetria hepática, representa um avanço significativo na avaliação e manejo da MASLD.
Além disso, nosso estudo reforça a ideia de que a PDFF-MRI é um marcador não invasivo confiável para quantificação da gordura hepática, com vantagens sobre a biópsia hepática por ser um exame reprodutível, com maior volume amostral, livre de riscos associados ao procedimento invasivo e passível de aplicação em larga escala
(16). Nossos resultados corroboram estudos anteriores que demonstraram que a volumetria hepática é um fator importante a ser considerado em procedimentos como transplante hepático e ressecção hepática, visto que o volume funcional do fígado pode ser superestimado na presença de esteatose
(17).
Nossos achados são concordantes com os resultados de Choi et al.
(6), que demonstraram um aumento médio de 4,4% no volume hepático para cada incremento de um ponto no grau de PDFF-MRI. Nesse estudo, a relação entre volume hepático e o volume hepático padronizado aumentou proporcionalmente aos graus de PDFF-MRI, reforçando a ideia de que a esteatose contribui significativamente para a expansão volumétrica hepática. A proposta de uma fórmula para estimar o volume hepático ajustado pela PDFF-MRI pode representar uma abordagem inovadora para corrigir esse efeito da esteatose na volumetria hepática e melhorar a avaliação funcional hepática
(6). Nossos resultados são também consistentes com os achados de Tang et al.
(18), que demonstraram que tanto o volume hepático quanto a carga total de gordura hepática apresentaram correlação estatisticamente significante com a PDFF-MRI. Esses autores também observaram que mudanças na PDFF-MRI ao longo do tempo estavam associadas a mudanças no volume hepático, corroborando a utilidade da volumetria no monitoramento longitudinal da doença
(18).
A heterogeneidade da distribuição da gordura hepática constitui um desafio adicional na quantificação precisa da carga lipídica do fígado. Estudos sugerem que a medição fracionada da gordura pode levar a variações amostrais e a uma estimativa incompleta da carga total de gordura no fígado. A volumetria automatizada, ao analisar o fígado como um todo, minimiza esses vieses e permite uma avaliação mais precisa da carga lipídica hepática
(18).
A comparação entre o DCCLH e a Voe indicou que ambos possuem acurácia semelhante na detecção da presença de esteatose. Além da volumetria hepática, o DCCLH se mostrou um parâmetro relevante na avaliação da morfologia hepática, sendo um método simples, amplamente disponível e reprodutível, além de ser amplamente aplicável a diferentes técnicas de imagem. A relação entre DCCLH e Voe encontrada em nosso estudo sugere que o DCCLH pode ser utilizado como um marcador indireto do volume hepático em pacientes com MASLD. Em estudos prévios, o DCCLH demonstrou boa correlação com a presença de hepatomegalia e alterações metabólicas associadas a esteatose
(19,20). No entanto, para estágios mais avançados da doença, a volumetria apresentou maior AUC em relação ao DCLLH (0,83 vs. 0,76), indicando que a volumetria hepática pode ser mais sensível para detectar progressão da esteatose.
Em consonância com nossos achados, Pickhardt et al.
(17) demonstraram que o volume hepático total não é um bom preditor isolado de fibrose, pois as alterações volumétricas ocorrem mais por redistribuição segmentar do que por aumento global do fígado. Essa redistribuição é refletida na razão do volume segmentar hepático, que avalia a presença de atrofia dos segmentos IV–VIII e a hipertrofia compensatória nos segmentos I–III
(17).
Limitações do estudo Apesar dos achados relevantes, nosso estudo apresenta algumas limitações. Primeiramente, trata-se de um estudo unicêntrico e transversal, o que limita a generalização dos resultados para outras populações. Adicionalmente, não foram incluídas análises de fatores étnicos, genéticos e etários
(19,21). Além disso, não foi avaliada a presença de variações anatômicas, como o lobo de Riedel. O impacto da esteatose heterogênea também não foi levado em consideração. Outras potenciais limitações incluem: a ausência de avaliação longitudinal, o que limitou a análise de progressão ou regressão da doença em vigência de tratamento; o fato de o uso de medicações pelos pacientes não ter sido monitorado, que poderia impactar o volume e a gordura hepática; e o fato de o dado da insulina de jejum para o cálculo do
Homeostatic Model Assessment for Insulin Resistance (HOMA-IR) escore, que é considerado um critério secundário para o diagnóstico de síndrome metabólica, não esteve disponível
(9). Essas limitações podem ter reduzido a representatividade da amostra e devem ser consideradas em futuros estudos, que deverão incluir populações mais heterogêneas e avaliações longitudinais.
PerspectivasFuturas pesquisas devem explorar a aplicabilidade clínica da volumetria ajustada pela PDFF-MRI como preditor de desfechos metabólicos e cardiovasculares. O desenvolvimento de modelos preditivos baseados em inteligência artificial pode auxiliar na individualização do manejo da MASLD, personalizando abordagens terapêuticas
(16). Além disso, novos estudos devem aprimorar a segmentação hepática automatizada e avaliar o uso do Voe em diferentes cenários de doenças hepáticas
(14). Outra perspectiva promissora é o desenvolvimento de modelos que considerem o conteúdo lipídico para avaliação funcional do fígado, contribuindo para o planejamento cirúrgico e na estratificação de risco.
CONCLUSÃOEste estudo destaca a importância da avaliação integrada de métricas hepáticas não invasivas, com ênfase na PDFF-MRI e na aferição do volume hepático como ferramentas complementares na abordagem da MASLD.
A PDFF-MRI se sobressai como um biomarcador altamente sensível e preciso para quantificação da gordura hepática, sendo essencial para a estratificação de risco e o monitoramento da doença. Paralelamente, a avaliação do volume hepático, seja por volumetria automatizada ou pela medição do DCCLH, demonstrou ser uma métrica prática e amplamente aplicável, refletindo alterações estruturais associadas à progressão da esteatose.
A correlação positiva entre a PDFF-MRI e as medidas de volume hepático reforça que essas métricas, em con-junto, oferecem uma abordagem abrangente para o diagnóstico e a identificação precoce de pacientes em maior risco de complicações. Além disso, a integração dessas ferramentas permite intervenções terapêuticas personalizadas, contribuindo para a melhoria dos desfechos em pacientes com MASLD.
Disponibilidade de dadosOs dados de pesquisa que dão suporte aos resultados deste estudo estão publicados no corpo deste artigo.
REFERÊNCIAS1. Leão Filho HM. The impact of steatosis assessment in imaging. Radiol Bras. 2024;57:e3.
2. Shabanan SH, Martins VF, Wolfson T, et al. MASLD: what we have learned and where we need to go–a call to action. Radiographics. 2024;44:e240048.
3. Gupta A, Dixit R, Prakash A. Non-invasive hepatic fat quantification: can multi-echo Dixon help? Radiol Bras. 2024;57:e20230125.
4. Silva LCM, Oliveira JT, Tochetto S, et al. Ultrasound elastography in patients with fatty liver disease. Radiol Bras. 2020;53:47–55.
5. Azizi N, Naghibi H, Shakiba M, et al. Evaluation of MRI proton density fat fraction in hepatic steatosis: a systematic review and metaanalysis. Eur Radiol. 2024;35:1794–807.
6. Choi JY, Lee SS, Kim NY, et al. The effect of hepatic steatosis on liver volume determined by proton density fat fraction and deep learning–measured liver volume. Eur Radiol. 2023;33:5924–32.
7. Vauthey JN, Abdalla EK, Doherty DA, et al. Body surface area and body weight predict total liver volume in Western adults. Liver Transpl. 2002;8:233–40.
8. Guglielmo FF, Barr RG, Yokoo T, et al. Liver fibrosis, fat, and iron evaluation with MRI and fibrosis and fat evaluation with US: a practical guide for radiologists. Radiographics. 2023;43:e220181.
9. Rinella ME, Lazarus JV, Ratziu V, et al. A multisociety Delphi consensus statement on new fatty liver disease nomenclature. Hepatology. 2023;78:1966–86.
10. Szczepaniak LS, Nurenberg P, Leonard D, et al. Magnetic resonance spectroscopy to measure hepatic triglyceride content: prevalence of hepatic steatosis in the general population. Am J Physiol Endocrinol Metab. 2005;288:E462–8.
11. Middleton MS, Heba ER, Hooker CA, et al. Agreement between magnetic resonance imaging proton density fat fraction measurements and pathologist-assigned steatosis grades of liver biopsies from adults with nonalcoholic steatohepatitis. Gastroenterology. 2017;153:753–61.
12. Kratzer W, Fritz V, Mason RA, et al. Factors affecting liver size: a sonographic survey of 2080 subjects. J Ultrasound Med. 2003;22:1155–61.
13. Babu AS, Wells ML, Teytelboym OM, et al. Elastography in chronic liver disease: modalities, techniques, limitations, and future directions. Radiographics. 2016;36:1987–2006.
14. Cunha GM, Fowler KJ. Automated liver segmentation for quantitative MRI analysis. Radiology. 2022;302:355–6.
15. Fowler KJ, Venkatesh SK, Obuchowski N, et al. Repeatability of MRI biomarkers in nonalcoholic fatty liver disease: The NIMBLE Consortium. Radiology. 2023;309:e231092.
16. Reeder SB, Starekova J. MRI proton density fat fraction for liver disease risk assessment: a call for clinical implementation. Radiology. 2023;309:e232552.
17. Pickhardt PJ, Lubner MG. Noninvasive quantitative CT for diffuse liver diseases: steatosis, iron overload, and fibrosis. Radiographics. 2025;45:e240176.
18. Tang A, Chen J, Le TA, et al. Cross-sectional and longitudinal evaluation of liver volume and total liver fat burden in adults with nonalcoholic steatohepatitis. Abdom Imaging. 2015;40:26–37.
19. Seppelt D, Ittermann T, Kromrey ML, et al. Simple diameter measurement as predictor of liver volume and liver parenchymal disease. Sci Rep. 2022;12:1257.
20. Roloff AM, Heiss P, Schneider TP, et al. Accuracy of simple approaches to assessing liver volume in radiological imaging. Abdom Radiol. 2016;41:1293–9.
21. Xia T, Du M, Li H, et al. Association between liver MRI proton density fat fraction and liver disease risk. Radiology. 2023;309:e231007.
1. Hospital Moinhos de Vento, Porto Alegre, RS, Brasil
2. Hospital Cristo Redentor, Porto Alegre, RS, Brasil
3. Universidade do Vale do Rio dos Sinos (Unisinos), São Leopoldo, RS, Brasil
4. Hospital de Clínicas de Porto Alegre (HCPA), Porto Alegre, RS, Brasil
Como citar este artigo:Carboni G, Torres L, Furlin G, Morais GSC, Vanceta R, Ghezzi CLA, Guerra HM, Schuch A. Avaliação quantitativa por RM na doença hepática esteatótica associada a disfunção metabólica: correlação entre PDFF-MRI e tamanho do fígado. Radiol Bras. 2025;58:e20250052.
a.
https://orcid.org/0000-0002-5400-4475b.
https://orcid.org/0000-0003-0560-7146c.
https://orcid.org/0000-0001-6092-342Xd.
https://orcid.org/0009-0001-8337-5101e.
https://orcid.org/0000-0002-1299-6381f.
https://orcid.org/0000-0001-6275-6119g.
https://orcid.org/0009-0001-4624-8234h.
https://orcid.org/0000-0001-8145-9478Correspondência:Dra. Alice Schuch
Hospital Moinhos de Vento, Unidade de Diagnóstico por Imagem. Rua Ramiro Barcelos, 910, Primeiro subsolo, Moinhos de Vento. Porto Alegre, RS, Brasil, 90560-032.
E-mail:
aliceschuch@gmail.com
Received in
July 7 2025.
Accepted em
July 28 2025.
Publish in
November 13 2025.